مرگ ناگهانی کودک ۳ ساله خوزستانی مبتلا به کرونای انگلیسی
مشاور رسانهای رئیس دانشگاه علوم پزشکی جندی شاپور اهواز از مرگ یک کودک سه ساله مبتلا به کرونای انگلیسی پس از سه ساعت ورود به بیمارستان خبر داد.
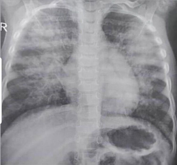
رویداد۲۴ دکتر عرفان مردانی با انتشار عکس رادیولوژی یک کودک خوزستانی فوتشده بر اثر کرونای انگلیسی، در صفحه شخصی خود در توییتر نوشت: "عکس ریه کودک ۳ ساله خوزستانی که به علت تهاجم سنگین کرونای انگلیسی در کمتر از سه ساعت از ورودش به بیمارستان جان باخت.
گناه این طفل معصوم چه بود که باید قربانی سهلانگاریها شود.
مراقب باشید و احساس خطر کنید، کرونا دیگر پیر و جوان نمیشناسد. "

خبر های مرتبط


