علت تاول زدن لثه چیست؟
رویداد۲۴ نازنین احمدی: یکی از شایعترین بیماریهای دهان و دندان عفونت لثه است، که افراد زیادی را درگیر میکند؛ و به شکلهای مختلف ظاهر میشود. مثل:
تاول، التهاب در سطوح مختلف، آفت، تبخال داخلی و حتی زخمهای دهانی.
دهان و دندان عضوهایی هستند که بسیار مستعد ابتلا به بیماری و عفونت میباشند؛ و بیشتر هم به مراقبت و بهداشت نیاز دارند. التهاب و عفونت لثه علاوه بر اینکه بسیار خطرناک است، آسیبهای جدی و غیر قابل جبرای را به دندانها وارد میکند.

عفونت لثه
عفونت و جمع شدن باکتریها روی دندان و بافت اطراف آن است. از آنجایی که دهان پراز انواع باکتری است، انجام اقدامات بهداشتی به طور روزانه، از جمله مسواک زدن، کشیدن نخ دندان، به کنترل سطح باکتری ها، حفظ سلامت دهان، دندانها و لثه و جلوگیری از پوسیدگی دندان کمک میکند.

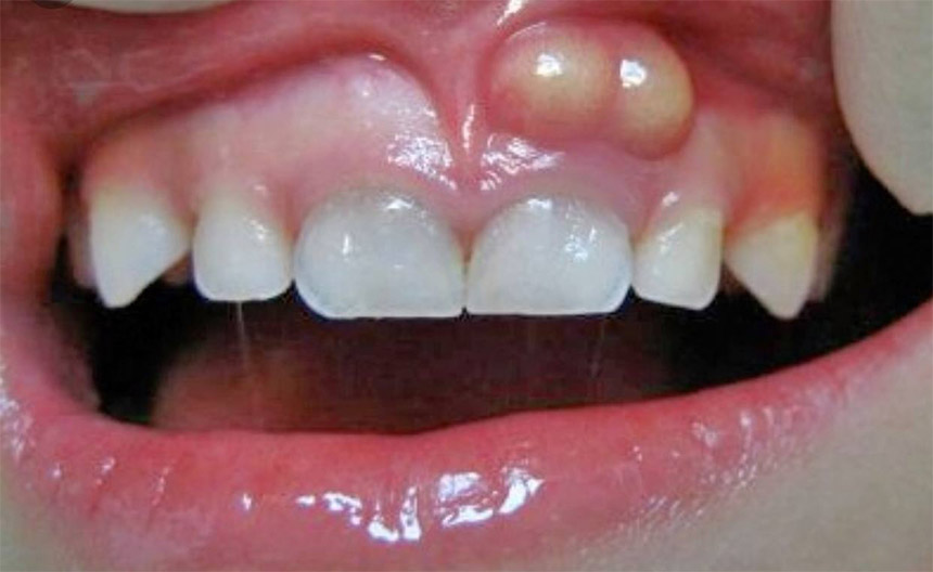
آبسه دهان
در صورت رعایت نکردن و ایجاد عفونت در لثه، ممکن است به تشکیل ورم چرکی در دهان، که آبسه نامیده میشود بیانجامد. آبسه به درمان سریع نیاز دارد. شخصی که آبسه دارد، ممکن است ورم دردناک و ترشح چرک از لثه داشته باشد. عفونتهای درمان نشده، عوارضی به همراه دارد؛ برای مثال:
بافت عفونی ممکن است ریشه دندان کناریاش را در وضعیت خطرناکی قرار دهد که در نهایت این امکان وجود دارد که آن دندان از بین برود.
علاوه بر آن، عفونت بافت ممکن است به فک یا استخوان اطراف منتقل شود و باعث آسیب به بافت شود. باکتری همچنین ممکن است وارد جریان خون شود و در سایر قسمتهای بدن مشکلی ایجاد کند.

علل تاول زدن لثه
البته به غیر از عدم رعایت بهداشت دندانها عوامل دیگری هستند که برای سلامت دهان و دندانها تهدید به حساب میآیند و زمینه ساز التهاب، عفونت لثه، تاول و آبسههای گاه و بی گاه هستند. مثل:
• دیابت
• کمبود بعضی ویتامینها مانند نوعی ویتامین خاص از ویتامین B
• فشار به دندانها
• تغذیه نامناسب (استفاده زیاد از کربوهیدراتها و مواد قندی)
• تغییرات هورمونی در خانمها (دوران قائدگی، بارداری، یائسگی)
• بیماریها یا مصرف داروهایی که باعث خشکی دهان یا کاهش جریان بزاق میشوند.
• عفونت دندانهای خراب که نیاز به ترمیم دارند.
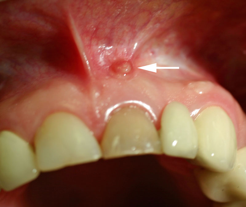
علائم تاول زدن لثه
درد در قسمتی از لثهها
متورم شدن قسمت دردناک لثه
سفید شدن روی قسمت متورم
خونریزی بعد از مسواک زدن
لثهای که متورم شده، نازک یا حساس میشود و زود خونریزی میکند.
بوی بد دهان
سوزش شدید لثه هنگام مسواک زدن، خوردن غذای گرم و حتی غذای سفت
آیا تاول زدن لثه مقدمه بروز عفونتهای دهانی است؟

اگر چه آبسه و تاول لثه، موضوع رایجی نیست. اما اگر به موقع درمان نشود میتواند مشکلات اساسی به وجود آورد. در حالیکه این موضوع برای بیشتر ما مهم است که دندانها و لثههای سالمی داشته باشیم، پس اگر از آنها محافظت درست به عمل نیاوریم عفونی خواهند شد. دانستن نشانههایی در دندان و لثه که منجر به عفونت لثه میشود، روش مهمی برای جلوگیری از بیماریهای بعدی لثه و علائمی که همراه با آن میآید، است.
التهاب و تاول زدن لثه
التهاب و تاول زدن لثه، میتواند مرحله اول بیماری لثه باشد که منجر به عفونت لثه یا حتی بیماری مشکل آفرینتری به نام پیر دندانی شود. پیر دندانی، عفونت جدی لثه است که توسط باکتریهایی که روی دندانها و لثه، جمع شده اند، به وجود میآید. اگر پیر دندانی زود تشخیص داده شود و فرد بهداشت دهان و دندان را رعایت کند، این آسیب میتواند متوقف شود. این بیماری با ورم شروع شده و با گذر زمان، بدتر میشود.
التهاب معمولاً باعث قرمزی و ورم لثهها میشود. لثهها ممکن است به آسانی، خونریزی کنند؛ مانند وقتی که شخص، مسواک میزند. بعضیها ممکن است در ابتدا متوجه این مسئله نشوند. اگر چه نوع پیشرفته التهاب، منجر به عفونت در آن محل میشود و در این مرحله علائم ممکن است بیشتر ظهور پیدا کنند.

عوامل بیرونی تاول زدن لثه
در بعضی موارد چیزهایی که درون دهان قرار میگیرد ریسک عفونت لثه و ایجاد آبسه و تاول را افزایش میدهد. برای مثال:
دندان مصنوعی یا سیمهایی که به خوبی قرار نگرفتهاند یا پر کردن دندان اگر به صورت ناقص یا معیوب انجام شده باشد.
درمان تاول لثه
دندان پزشک در بعضی موارد میتواند به طور مناسب تاولهای دهان شما را تشخیص داده و درمان کند. با این حال، اگر زخمها و تاولهای مکرر دهانی دارید یا اینکه بزرگتر از ۲ سانتیمتر هستند، یا با علائم دیگری مانند تب یا اسهال همراه هستند با یک بیماری مرتبط است، بهتر است به متخصص پوست یا متخصص گوش، حلق و بینی مراجعه کنید؛ و یا توسط یک جراح دندان و ریشه بررسی شود.
روشهای خانگی برای بهبود تورم لثه
آب نمک قرقره کنید.
کمپرس گرم و سرد در صورت بروز تورم
درست مسواک زدن
استفاده از مسواک مناسب
نخ دندان استفاده کنید.
دهان شویه ضد التهاب لثه استفاده کنید دهان خود را با آب تازه و تمیز، بعداز هر وعده غذایی، آبکشی کنید.
مصرف غذاهای دارای شکر و نوشابه را محدود کنید.
اگر دندان مصنوعی دارید، آن را هر شب خارج کرده بشویید یا اینکه حدالمقدور در محلول آب نمک بگذارید.
با رعایت این موارد حتی از بروز عفونتهای دهان و دندان پیشگیری میکنید.

