روش هایی برای درمان آبسه و عفونت دندان

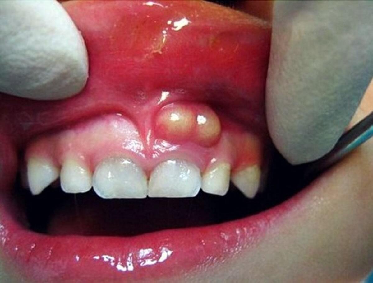
رویداد۲۴ نازنین احمدی: زمانی که دندان یا ریشه آن دچار التهاب می شود، یک کیسه زرد رنگ که بوی بد و نامطبوعی دارد، در لثه و زیر دندان به وجود می آید که به آن آبسه دندان می گویند. آبسه دندان بسیار دردناک و آزار دهنده است و به همین دلیل بیشتر افراد به دنبال راه درمانی برای آن هستند.
به گزارش رویداد۲۴ زمانی که دندان دچار عفونت و آبسه می شود تنها راه درمان، از بین بردن عفونت است و هیچ راه دیگری برای درمان وجود ندارد. در این مواقع دندانپزشک توصیه میکند ابتدا عفونت و آبسه دندان را درمان کنید سپس به دنبال درمان های دیگر مثل عصب کشی، پرکردن دندان و.. باشید. ما در این مقاله قصد داریم بهترین روش های درمان عفونت و آبسه دندان در منزل را به شما بگویم پس با ما همراه باشید.
روش های خانگی برای درمان آبسه و عفونت دندان
گاه به دلایل گوناگونی افراد برای درمان به نزد پزشک نمی روند و به دنبال راهی برای درمان عفونت و آبسه دندان در منزل هستند. باید بگویم دیگر نگران نباشید زیرا شما به راحتی می توانید در منزل عفونت و آبسه دندان خود را درمان کنید. البته باید بگویم بهترین راه مراجعه به دندانپزشک و استفاده از آنتی بیوتیک است و راه هایی که ما در ادامه به شما معری خواهیم کرد برای بهبود و کاهش درد آبسه دندان است.
درمان عفونت و آبسه دندان با آب نمک
همه ما میدانیم نمک دارای خواص آنتی باکتریال است و عفونت را از بین می برد. یکی از راه بسیار موثر برای درمان عفونت و آبسه دندان در اسرع وقت، استفاده از قرقره آب نمک است. برای سرعت بخشیدن در درمان آبسه دندان، بهتر است روزانه 3 مرتبه از قرقره آب نمک استفاده کنید. در ابتدا ممکن است به دلیل وجود زخم در آبسه دندان با استفاده از این روش دچار درد شوید، اما به مرور زمان آبسه دندان درمان شده و دیگر دردی احساس نمی کنید.
از بین بردن عفونت و آبسه دندان با استفاده از جوش شیرین
یکی از موادی که در طب سنتی از خواص آن بسیار یاد شده، جوش شیرین است. بسیاری از پزشکان طب سنتی توصیه می کنند برای درمان آبسه دندان از محلول آب و جوش شیرین استفاده کنید. جوش شیرین مانند نمک دارای خواص آنتی باکتریال است و از آنجا که آبسه و عفونت دندان منشا باکتریایی دارد، برای درمان آن بسیار مناسب است. برای استفاده از این محلول، نصف قاشق چای خوری جوش شیرین را در یک فنجان آب حل کنید و این محلول را به مدت چند ثانیه در دهان خود بچرخانید و سپس دور بریزید.
اسانس اورگانو، موثر در درمان عفونت و آبسه دندان
اسانس اروگانو در داروخانه ها و فروشگاه های مواد غذایی وجود دارد و به راحتی می توانید آن را تهیه کنید. برای درمان آبسه دندان باید این اسانس را با مقداری روغن پایه مخلوط کنید و به کمک پنبه بر روی آبسه بمالید. این ترکیب را به مدت 3 دقیقه بر روی آبسه دندان باقی بگذارید سپس دهان خود را با آب ولرم بشویید. استفاده روزانه 3 مرتبه از این ترکیب باعث درمان عفونت و آبسه دندان در کوتاه مدت خواهد شد.
بیشتر بخوانید: راهکارهای درمان فوری دنداندرد
استفاده از کمپرس آب سرد و گرم
آبسه دندان بسیار دردناک و آزار دهنده است و به همین دلیل افراد به دنبال راهی برای تسکین این درد هستند. بهترین روش برای کاهش درد آبسه دندان، استفاده از کمپرس آب گرم یا آب سرد است. کمپرس آب گرم یا سرد را به مدت زمان 15 دقیقه بر بالای دندانی که آبسه کرده است قرار داده و با تکرار آن در طی روز درد آن را کاهش دهید.
استفاده از گیاه شنبلیله برای درمان آبسه دندان
یکی از گیاهان پر استفاده در طب سنتی شنبلیله است که این گیاه به دلیل دارا بودن خواصی مثل خواص ضد باکتریایی در درمان عفونت ها بسیار موثر است. این گیاه علاوه بر این که عفونت را درمان می کند، سبس درمان زخم و التهاب لثه می شود و به همین علت گیاه شنبلیله در طب سنتی بسیار مورد توجه قرار گرفته اند. برای درست کردن چای شنبلیله مقدار یک قاشق مربا خوری شنبلیله را در یک فنجان آب جوش قرار داده پس از خنک شدن، با پنبه روزانه سه بار بر روی آبسه دندان بمالید.
درمان عفونت آبسه دندان با اسانس میخک
زمانی که صحبت از عفونت و درد دندان می شود، بسیاری از افراد استفاده از میخک را توصیه می کنند زیرا این گیاه دارای ضد التهابی و ضد میکروبی است که در بهبود عفونت و التهاب لثه می تواند بسیار موثر باشد. این اسانس را می توانید در عطاری ها و فروشگاه های مواد غذایی تهیه کنید. سه الی پنج قطره اسانس میخک را با مقداری روغن پایه حل کنید و به کمک پنبه ی گوش پاک کن بر روی آبسه دندان بمالید پس از گذشت ده دقیقه دهان خود را با آب ولرم بشویید.
اسانس آویشن و درمان آبسه دندان
از قدرتمند ترین اسانس های گیاهی برای درمان عفونت های باکتریایی لثه، اسانس آویشن است. این اسانس با داشتن خواص زیاد سبب کاهش درد و ورم آبسه می شود. برای استفاده از این اسانس باید، آن را مثل دیگر اسانس ها با روغن پایه مخلوط کنید و به همان روش بر روی آبسه دندان خود بمالید.
درمان عفونت و آبسه دندان در دوران بارداری
یکی از دوران های حساس برای هر زنی دوران بارداری است و در این دوران سلامت جنین بر همه چیز اولویت دارد. اگر در این دوران حساس بهداشت دهان و دندان به خوبی رعایت نشود، مادر باردار دچار عفونت و آبسه دندان می شود. مادران باردار نمی توانند از درمان های دندان پزشکی استفاده کنند زیرا ممکن است دارو های مسکن، اشعه ایکس و... برای سلامت جنین تاثیر بگذارند و به همین علت توصیه می کنیم برای آبسه دندان خود از روش های سنتی که در بالا نام برده ایم استفاده کنند.

